Sarcoïdose

Item 211 UE VIII


1 - Définition

La sarcoïdose est une maladie granulomateuse systémique d'étiologie inconnue, qui peut toucher de nombreux organes : le poumon préférentiellement mais aussi la peau, la synoviale, l'os, le c?ur, le rein ou le système nerveux central. L'atteinte médiastino-thoracique est isolée dans 40 % des cas.

Les manifestations rhumatologiques concernent 25 à 33 % des patients.
La sarcoïdose survient préférentiellement entre 20 et 40 ans et est plus fréquente chez le sujet noir.

2 - Manifestations rhumatologiques de la sarcoïdose

2.1 - Syndrome de Löfgren

Cette présentation clinique, souvent révélatrice de la maladie, associe :

  • érythème noueux (fig. 23.1).
  • atteinte articulaire : le plus souvent, il s'agit d'une oligo- ou polyarthrite fébrile, aiguë et symétrique, touchant les grosses et moyennes articulations des membres inférieurs (chevilles et genoux). L'atteinte bilatérale des chevilles est quasi constante, très évocatrice d'une sarcoïdose (fig. 23.2). L'atteinte des chevilles peut être en rapport avec une arthrite non destructrice, une ténosynovite sans prédominance de compartiment et/ou un ?dème sous-cutané avec infiltration du tissu péri-articulaire. Les radiographies articulaires sont normales ;
  • adénopathies hilaires bilatérales asymptomatiques et non compressives : la radiographie du thorax montre un stade I dans 80 % des cas. Parfois, il apparaît un infiltrat pulmonaire (stade II).

Le syndrome de Löfgren est la seule forme de la maladie qui ne nécessite pas de confirmation histologique. Le pronostic du syndrome de Löfgren est tout à fait favorable, la guérison étant le plus souvent obtenue spontanément en quelques mois.

 

Fig. 23.1. Érythème noueux aspécifique dans le cadre d'une sarcoïdose.

 

Fig. 23.2. Atteinte de la cheville au cours d'une sarcoïdose (arthrite et infiltration du tissu péri-articulaire).

 

2.2 - Autres manifestations rhumatologiques (fig. 23.3)

Ces manifestations sont rares, voire exceptionnelles pour les formes chroniques.
Les formes aiguës sont d'installation rapide, parfois d'allure pseudo-goutteuse. Elles sont souvent symétriques, parfois migratrices, avec atteinte des petites et moyennes articulations. L'atteinte des chevilles est évocatrice. Le syndrome inflammatoire biologique est marqué, les radiographies sont normales et la régression spontanée avec un risque de récidive. Il faut rechercher d'autres signes extra-articulaires de sarcoïdose.

Les arthropathies chroniques peuvent précéder les autres signes de la maladie et sont généralement non destructrices La biopsie synoviale peut être utile et montre une synovite granulomateuse.

 

Fig. 23.3. Sarcoïdose maladie : mono-, oligo- ou polyarthrites aiguës, arthropathies chroniques.
A.
Arthrite du genou gauche. B. Dactylite. C. Atteinte osseuse.

 

2.2.1 - Dactylite

L'atteinte de la main est la plus fréquente et est associée à une atteinte osseuse de la maladie.
Elle se présente sous forme d'une dactylite inflammatoire, uni- ou bilatérale, de la deuxième et troisième phalange, fréquemment asymptomatique ou peu douloureuse. Il peut exister une atteinte unguéale associée (onychodystrophie, hyperkératose sous-unguéale, décoloration, stries longitudinales, onycholyse).

2.2.2 - Atteinte osseuse

L'atteinte osseuse, souvent asymptomatique, est sous-diagnostiquée. L'atteinte osseuse est parfois associée à une atteinte de la peau et des tissus mous. L'ensemble du squelette peut être atteint. L'atteinte des mains est la plus fréquente, suivie par celle du crâne, des os de la face, du sternum, des côtes, des vertèbres et des os longs.
Sur les radiographies des mains, on peut trouver soit un kyste circonscrit (ostéite cystoïde), soit de multiples lacunes de petite taille réalisant souvent un aspect grillagé. Plus rarement, un aspect d'acro-ostéolyse peut être détecté.
Sur les os longs, le rachis et le crâne, il existe radiologiquement des lacunes sans condensation périlésionnelle. Elles doivent faire discuter des diagnostics différentiels, notamment des tumeurs (métastases, hémopathies), des infections (tuberculose), d'autres maladies osseuses (maladie de Paget, ostéopétrose).

2.2.3 - Perturbations du métabolisme phosphocalcique

Il s'agit d'une hypercalciurie (35 % des patients environ) avec ou sans hypercalcémie (présente dans 10 % des cas), qui peut être responsable de lithiases calciques et de néphrocalcinose. Elle est la conséquence de la production par le granulome sarcoïdosique de 1,25(OH)2-vitamine D3. Une hypercalcémie sévère est possible, surtout après exposition solaire ; une corticothérapie peut alors être indiquée.

2.2.4 - Atteinte axiale

Une atteinte sacro-iliaque et vertébrale peut être observée au cours de la sarcoïdose, comme au cours des spondyloarthrites.

2.2.5 - Myalgies

Les myalgies sont habituellement modérées et prédominent aux ceintures. Sauf dans les rares formes de myopathie aiguë, le taux des enzymes musculaires est normal ou peu élevé et il existe en parallèle une élévation de l'enzyme de conversion. L'IRM musculaire peut être utile pour objectiver l'atteinte musculaire et guider les biopsies. L'histologie musculaire montre la présence de granulomes.

3 - Comment faire le diagnostic de sarcoïdose ?

3.1 - Diagnostic de certitude

Le diagnostic de sarcoïdose repose sur trois éléments indispensables :

  • la conjonction de signes cliniques et paracliniques compatibles ;
  • la mise en évidence d'un granulome épithélioïde et gigantocellulaire sans nécrose caséeuse ;
  • l'exclusion des autres diagnostics potentiels.

Diagnostics à exclure

Granulomatoses infectieuses (tuberculose, mycobactéries atypiques, histoplasmose, mycoses, parasitoses), toxiques (bérylliose, médicamenteuses), inflammatoires (granulomatose avec polyangéite, pneumopathie d'hypersensibilité, etc.), lymphomes, déficit immunitaire commun variable (DICV).

Sauf dans la forme typique du syndrome de Löfgren, le diagnostic nécessite une confirmation histologique (granulome sans nécrose caséeuse). En l'absence de confirmation histologique possible, il faut rester prudent et savoir réévaluer le diagnostic au cours du suivi.

3.2 - Éléments cliniques et paracliniques orientant le diagnostic

Il faut systématiquement rechercher les autres manifestations asymptomatiques et symptomatiques de la sarcoïdose.

3.2.1 - Examens complémentaires

Certains examens complémentaires systématiques peuvent orienter vers le diagnostic de sarcoïdose :

  • la NFS peut retrouver une lymphopénie prédominant sur les lymphocytes CD4+ ;
  • une hypercalciurie avec ou sans hypercalcémie (5 à 10 %) ;
  • une hypergammaglobulinémie polyclonale (inconstante) peut être présente ;
  • l'enzyme de conversion de l'angiotensine I (ECA) est élevée dans environ 60 % des cas. Cette élévation est évocatrice mais n'est ni sensible ni spécifique (elle peut s'observer également au cours d'autres affections granulomateuses) et son taux corrèle mal avec l'activité de la maladie, elle est ininterprétable chez les patients recevant des inhibiteurs de l'enzyme de conversion ;
  • la radiographie thoracique, indispensable, oriente le diagnostic chez 80 % des malades (cf. infra) ;
  • le scanner thoracique est également quasi-systématique lors de l'évaluation initiale.

Certains examens sont pratiqués pour le retentissement de la maladie ou à visée préthérapeutique :

  • créatinine, bilan hépatique ;
  • sérologies VHB, VHC et VIH ;
  • l'imagerie par TEP-FDG, qui peut être utile pour guider une biopsie lors du diagnostic et évaluer l'activité de la maladie, notamment l'atteinte cardiaque ;
  • l'IRM, qui peut également être utile en fonction des localisations (IRM cardiaque, musculaire ou cérébrale).

3.2.2 - Biopsies

Les biopsies les moins agressives possibles doivent être utilisées : tout d'abord les biopsies superficielles, puis les biopsies plus profondes en l'absence de lésion superficielle :

  • une biopsie d'une lésion cutanée ;
  • une biopsie des glandes salivaires accessoires (sensibilité de 40 %) ;
  • une biopsie d'une adénopathie superficielle ;
  • une biopsie bronchique ou transbronchique (sensibilité de 50 à 60 %) ;
  • une biopsie synoviale (au cours des arthropathies chroniques) ;
  • une biopsie hépatique (sensibilité de 90 % mais faible spécificité) ;
  • une biopsie médiastinale, etc.

La biopsie recherche le granulome épithélioïde et gigantocellulaire.

Il n'existe jamais de nécrose caséeuse ni d'agent pathogène (qu'il faut rechercher systématiquement : bacille tuberculeux, bacille acido-alcoolo-résistant, parasite, corps étrangers, exposition particulière : bérylliose, etc.).

4 - Autres manifestations de sarcoïdose

4.1 - Manifestations médiastino-thoraciques (80 %)

Toux spasmodique, dyspnée d'effort souvent modérée peuvent révéler la maladie, mais souvent le patient est asymptomatique.

Radiographie de thorax

La radiographie de thorax doit être systématique. Il existe cinq types d'atteinte radiologique :

  • stade 0 : image thoracique normale au cours d'une sarcoïdose extrathoracique (20 % des malades) ;
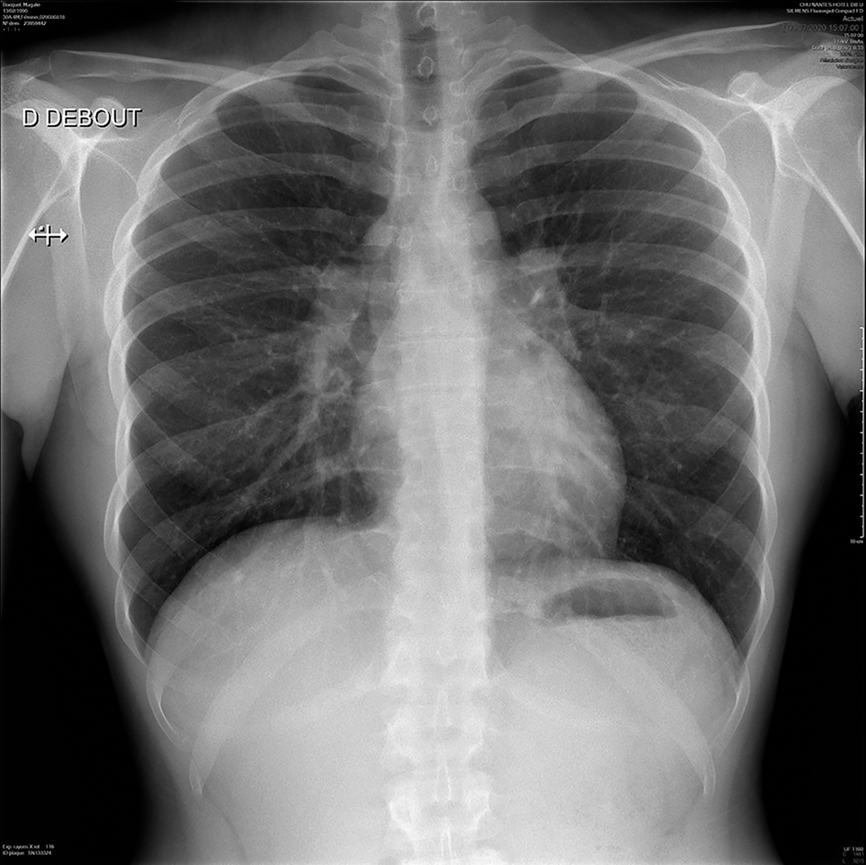
  • stade 1 : adénopathies intrathoraciques isolées, non compressives, le plus souvent asymptomatiques (50 %) (fig. 23.4) ;
  • stade 2 : image infiltrative diffuse avec adénopathies intrathoraciques ;
  • stade 3 : image infiltrative diffuse sans fibrose (25 %) ;
  • stade 4 : lésions irréversibles fibro-emphysémateuses (5 à 8 % des cas).

 

Fig. 23.4. Adénomégalies médiastinales bilatérales sans atteinte pulmonaire interstitielle, dans une sarcoïdose pulmonaire au stade 1.

 

4.1.1 - Épreuve fonctionnelle respiratoire (EFR) avec spirométrie, DLCO et test de marche de 6 minutes

Elle doit être systématique pour évaluer le retentissement fonctionnel respiratoire initial puis dépister les aggravations. Le test de marche de 6 minutes permet de dépister des désaturations à l'effort.

4.1.2 - Scanner thoracique haute résolution avec injection

Il précise les lésions et est plus sensible dans la détection de l'atteinte interstitielle.

4.1.3 - Fibroscopie avec lavage bronchoalvéolaire et biopsies étagées multiples

L'indication sera portée par le pneumologue : le lavage bronchoalvéolaire montre le plus souvent une alvéolite lymphocytaire avec augmentation du pourcentage de lymphocytes CD4+. Cette anomalie peut exister au cours des sarcoïdoses à manifestation purement extrathoracique.

4.2 - Manifestations cutanées (20 %)

L'érythème noueux du syndrome de Löfgren n'a aucune caractéristique propre et évolue favorablement en quelques semaines.
Les sarcoïdes sont des lésions cutanées spécifiques infiltrées, violines, qui font apparaître à la vitropression les « grains lupoïdes jaunâtres ». Il faut les rechercher au visage, sur les membres mais aussi sur les cicatrices du patient.

5 - Manifestations oculaires (20 %)

L'atteinte de la conjonctive et des glandes lacrymales est le plus souvent bénigne.

Les uvéites granulomateuses (20 % des patients) menacent le pronostic oculaire et sont souvent associées à une atteinte médiastino-pulmonaire grave. Elles sont habituellement antérieures et chroniques. Parfois, elles sont postérieures avec atteinte rétinienne et vascularite de mauvais pronostic, et nécessitent une corticothérapie générale.

6 - Adénopathies périphériques

Des adénopathies périphériques sont trouvées chez 10 % des patients : cervicales, sus-claviculaires, épitrochléennes, etc.

6.1 - Manifestations salivaires

La sarcoïdose peut être responsable de parotidites, de submandibulites et/ou d'un syndrome sec.

6.2 - Manifestations cardiaques

La cardiomyopathie se traduit par des troubles de la conduction, en particulier le bloc auriculoventriculaire du premier, deuxième ou troisième degré ou des troubles du rythme responsables de syncopes ou de mort subite.
Cette atteinte justifie un dépistage systématique lors du suivi (holter-ECG, IRM cardiaque, TEP-TDM cardiaque). Une confirmation de la cardiopathie par un avis spécialisé est nécessaire dans les plus brefs délais : c'est une indication formelle à une corticothérapie à forte dose et à un traitement immunosuppresseur.

6.3 - Manifestations neurologiques

L'atteinte des paires crâniennes concerne le VII, le nerf ophtalmique ou le V. Des méningites lymphocytaires souvent latentes mais également une pachyméningite granulomateuse sont parfois observées. D'autres manifestations neurologiques centrales (myélite, lésions granulomateuses cérébrales, vascularite cérébrale) peuvent être observées.

6.4 - Manifestations rénales

On observe parfois une néphrocalcinose secondaire à l'hypercalciurie ; rarement une infiltration rénale par des granulomes sarcoïdosiques.

7 - Manifestations hépatiques et digestives

Hépatomégalie et anomalies biologiques (cholestase) sont rares, mais le parenchyme hépatique est souvent le siège d'un infiltrat granulomateux, lorsqu'une biopsie hépatique est réalisée.

8 - Traitement et suivi

8.1 - Traitement

La plupart des patients ne nécessitent pas de traitement (découverte fortuite, atteinte osseuse asymptomatique). Le traitement dans le syndrome de Löfgren est exclusivement symptomatique et fondé sur le repos, les antalgiques et les AINS. On évite la corticothérapie sauf dans les formes d'évolution défavorable.
La corticothérapie doit être discutée dans les formes avec atteintes pulmonaires invalidantes (stades III et IV ou aggravation progressive) et manifestations extrathoraciques graves ainsi que dans les rares formes rhumatologiques chroniques et l'hypercalcémie.
Dans les formes chroniques et réfractaires, un traitement d'épargne cortisonique est souvent proposé. L'efficacité de l'hydroxychloroquine, du méthotrexate et du léflunomide a été rapportée dans les atteintes cutanées, articulaires et musculaires. Dans les atteintes sévères ou réfractaires, l'efficacité des anti-TNF a été rapportée.

8.2 - Surveillance régulière

La surveillance s'impose par un examen clinique tous les 3 à 6 mois et un bilan plus complet tous les 6 à 12 mois dépendant de l'atteinte initiale : radiographie de thorax, EFR avec spirométrie et DLCO, ECG, consultation ophtalmologique, contrôle biologique.




Légende :

Dans le respect de la Réforme du deuxième cycle des études médicales (R2C), les connaissances rassemblées sur ce site sont hiérarchisées en rang A, rang B et rang C à l'aide de balises et d'un code couleur :
Connaissances fondamentales que tout étudiant doit connaître en fin de deuxième cycle.
Connaissances essentielles à la pratique mais relevant d'un savoir plus spécialisé que tout interne d'une spécialité doit connaître au premier jour de son DES.
Connaissances spécifiques à un DES donné (troisième cycle).