> Retour liste des Items 6ème édition - Ancien programme
Lupus érythémateux systémique
Le lupus érythémateux systémique (LES), anciennement lupus érythémateux disséminé, représente l'archétype des maladies auto-immunes systémiques. Son expression clinique est très hétérogène avec deux types de tableaux cliniques : des formes bénignes et fréquentes cutanéo-articulaires et des formes plus rares et sévères avec atteintes viscérales. Sur le plan biologique, la pathologie se caractérise par une hypergammaglobulinémie polyclonale souvent retrouvée au diagnostic, ainsi que la présence d'autoanticorps dirigés contre des antigènes d'origine nucléaire.
Le LES est la maladie systémique la plus fréquente après le syndrome de Gougerot-Sjögren. La prévalence du LES dans la population générale française en 2010 était de 41 cas pour 100 000 habitants (donc inférieure au seuil de 1/2 000 définissant les maladies rares) avec un taux d'incidence de 3 à 4 nouveaux cas annuels pour 100 000 habitants. Il existe une surprévalence aux Antilles (94/100 000 en Guadeloupe et 127/100 000 en Martinique).
Il affecte neuf femmes pour un homme et survient préférentiellement au cours des 2e et 3e décennies. Il existe une distribution raciale et géographique de la maladie. Les populations noires et asiatiques des États-Unis ou vivant dans les territoires des Caraïbes ont une prévalence de lupus plus forte que les sujets blancs. A contrario, les populations noires vivant en Afrique ont une prévalence faible de la maladie.
Le lupus peut s'associer à une autre maladie auto-immune systémique (surtout le syndrome de Gougerot-Sjögren) ou spécifique d'organes (thyroïdite, maladie de Biermer, etc.), ou à un syndrome des antiphospholipides. Ces associations peuvent parfois compliquer le diagnostic et surtout la prise en charge.
Les mécanismes physiopathologiques exacts restent méconnus et font intervenir des facteurs génétiques, environnementaux et immunologiques. Il s'ensuit une réponse auto-immune dirigée contre des antigènes d'origine nucléaire, responsable d'une activation chronique du système immunitaire.
Le LED est une maladie auto-immune, ce qui suggère un dérèglement du fonctionnement du système immunitaire. Globalement, on observe une hyperactivité du système immunitaire humoral et cellulaire qui se traduit par une cascade d'événements inflammatoires à l'origine de la production de différents autoanticorps et de diverses lésions tissulaires. La plus grande fréquence de lésions de certains organes s'explique probablement par différents mécanismes :
La fréquence des lupus familiaux varie de 4 à 12 % selon les séries. Le taux de concordance (proportion de second jumeau atteint quand le premier est malade), constitue un argument de poids en faveur d'une composante génétique. Ce taux varie de 24 à 56 - % chez les jumeaux monozygotes alors qu'il n'est que de 2 à 4 % chez les jumeaux dizygotes suggérant l'importance d'autres facteurs tels que les facteurs hormonaux et environnementaux. Il est aussi intéressant de noter que, dans certaines familles, si l'on ne retrouve pas d'authentique lupus, plusieurs autres membres de la famille sont atteints d'autres maladies auto-immunes - polyarthrite rhumatoïde, syndrome de Gougerot-Sjögren, thyroïdite -, ce qui suggère qu'il n'y a pas de gène totalement spécifique d'une maladie auto-immune.
L'ensemble des acteurs du système immunitaire a, un jour ou l'autre, été incriminé dans la physiopathologie du lupus. On retiendra :
La photo-exposition solaire est un facteur de risque reconnu de LES. Les rayons ultraviolets sont capables d'induire des lésions cutanées mais également des poussées évolutives de la maladie. Le tabac, du fait de ses actions pro-inflammatoires, est considéré comme un facteur de risque de lupus. L'imputabilité des agents transmissibles a été évoquée sur diverses données épidémiologiques. Parmi les agents viraux, il existe des arguments en faveur de l'imputabilité de l'Epstein-Barr virus, du cytomégalovirus et du parvovirus B19.
Enfin la prise de certains médicaments peut induire de novo des manifestations cliniques et biologiques de lupus. Plus de 120 médicaments différents ont été impliqués dans les lupus médicamenteux (cf. § V.A. Lupus médicamenteux).
L'imputabilité des Sstrogènes a été évoquée devant la forte prévalence de la maladie chez la femme jeune et la notion de poussées au cours de la grossesse. Pendant des années, l'utilisation d'Sstroprogestatifs était déconseillée chez la patiente lupique par crainte d'une exacerbation de la maladie. Deux essais cliniques randomisés n'ont pas validé la toxicité des Sstrogènes mais des études observationnelles contradictoires incitent toujours à une certaine prudence quant à leur utilisation au cours du lupus, notamment chez les patients présentant un syndrome des antiphospholipides associé ou des facteurs de risque vasculaire.
Le diagnostic initial peut être difficile mais il doit être fait précocement car certaines manifestations viscérales peuvent mettre en jeu le pronostic vital. Le début d'un LES peut être progressif, marqué par l'apparition successive de plusieurs signes cliniques, ou assez brutal, déclenché par une exposition solaire, une grossesse, un épisode infectieux, un traumatisme psychique ou physique ou la prise d'un médicament.
Les critères de l'ACR (American College of Rheumatology), et ceux plus récent du groupe SLICC (Systemic Lupus International Collaborating Clinics) font désormais référence pour classer la maladie lupique. Les critères ACR nécessitent la présence de quatre critères, présents soit de façon simultanée soit successive, parmi onze critères (tableau 16.1). Les critères SLICC permettent la classification de la maladie lupique en présence là aussi de quatre critères dont un clinique et un immunologique parmi une liste de manifestations (tableau 16.2) ou, fait nouveau, en présence d'une néphrite lupique confirmée histologiquement, associée à des autoanticorps caractéristiques. Ces différents critères (ACR et SLICC) sont complémentaires.
Tableau 16.1 : Critères de classification de l'ACR.
| - Érythème facial en aile de papillon - Lupus discoïde - Photosensibilité - Ulcération buccale ou nasopharyngée - Arthrite non déformante, atteinte d'une ou plusieurs articulations périphériques avec douleurs à la mobilisation, sensibilité, épanchement ou gonflement des parties molles sans déformation - Pleurésie ou péricardite (sérite) - Atteinte rénale : protéinurie persistante > 0,5 g/24 heures ou cylindres urinaires - Atteinte neurologique : psychose ou convulsion (en l'absence de cause médicamenteuse et/ou métabolique) | |
| Atteinte hématologique | - Leucopénie < 4 000 à deux reprises - Thrombopénie < 100 000 (en l'absence de drogue cytopéniante) - Lymphopénie < 1 500 à deux reprises - Anémie hémolytique |
| Anomalies immunologiques | - Présence d'anti-ADN à un taux significatif - Présence d'anti-Sm - Présence d'anticorps antiphospholipides : soit une sérologie syphilitique dissociée positive à 2 déterminations à 6 mois d'écart, soit un anticoagulant circulant de type lupique ou un titre anormal d'anticorps anti-cardiolipine et IgG et/ou IgM |
| Taux anormal d'anticorps anti-noyaux identifié par immunofluorescence ou une autre technique, persistant et en l'absence de médicaments inducteurs | |
| Critères de classification du LES | Détails | |
|---|---|---|
| Critères cliniques | Lupus cutané aigu ou subaigu | - Rash malaire - Lupus bulleux - Nécrolyse épidermique toxique - Rash maculopapuleux - Rash dans le cadre d'une photosensibilité - Lésion psoriasiforme - Lésion annulaire polycyclique |
| Lupus cutané chronique | - Rash discoïde - Lésion verruqueuse - Panniculite lupique - Lupus tumidus - Lupus engelure - Lésion type lichen plan | |
| Lésion muqueuse orale ou nasale | - Palais, bouche, langue ou nez | |
| Alopécie non cicatricielle | - Lésion diffuse avec des cheveux cassés visibles | |
|   | Synovites ≥ 2 articulations Ou douleur ≥ 2 articulations + dérouillage matinal | |
| Sérite | - Pleurésie ≥ 1 jour - Péricardite ≥ 1 jour | |
| Atteinte rénale | - Protéinurie > 0,5 g/24 h - Ou hématurie | |
| Atteinte neurologique | - Épilepsie, psychose, mononévrite, myélite, neuropathie périphérique, état confusionnel aigu | |
| Anémie hémolytique | ||
| Leucopénie | - Leucocytes < 4 000/mm3 - Ou lymphocytes < 1 000/mm3 | |
| Thrombopénie | < 100 000/mm3 | |
| Critère immunologique | Autoanticorps ou anomalie de certaines fractions du complément | - Anticorps anti-noyaux > norme du laboratoire - Anticorps anti-ADN double brin > norme du laboratoire - Anti-Sm - Anticorps antiphospholipides - Complément abaissé - Test de Coombs direct positif |
Au cours de l'évolution de la maladie, il est fréquent d'observer des signes généraux (fièvre, asthénie, anorexie). Il s'agit souvent de signes d'évolutivité de la maladie.
Les manifestations articulaires et osseuses sont fréquentes, polymorphes et souvent inaugurales. Il s'agit d'arthralgies migratrices des petites articulations (doigts et poignets) (25 %), assez souvent d'arthrites (65 % des cas) avec parfois un véritable tableau de polyarthrite symétrique et distale (encadré 16.1) Caractéristiques cliniques permettant de différencier les manifestations articulaires du LES de celles de la polyarthrite rhumatoïde
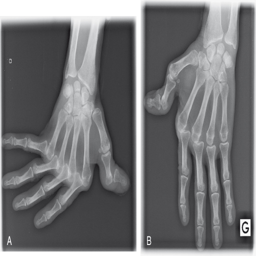
intéressant principalement les genoux, le carpe, et les articulations des doigts, notamment les articulations interphalangiennes proximales. Les atteintes proximales et axiales sont plus inhabituelles. L'analyse du liquide articulaire est difficile. En effet, les épanchements sont rares et de toute façon peu abondants. Le liquide est faiblement inflammatoire. Exceptionnellement, on observe des déformations liées à une subluxation des tendons des doigts dénommée rhumatisme de Jaccoud (fig. 16.1). Une des particularités sémiologiques de cette atteinte est la réductibilité des déformations. Des ténosynovites (surtout des fléchisseurs des doigts) sont possibles. Les monoarthrites sont rares et doivent faire évoquer une complication infectieuse
Fig. 16-1 : A. et B. Lupus érythémateux disséminé. Arthropathie lupique avec main de Jaccoud.

Au cours de la forme systémique du lupus, c'est les lésions de lupus érythémateux aigu qui sont le plus souvent rencontrées. Toutefois, plus rarement, des lésions de lupus érythémateux subaigu ou chronique peuvent aussi être observées.
Les lésions cutanées sont parfois déclenchées ou aggravées par l'exposition solaire, ce qui explique leur localisation caractéristique dans les zones photo-exposées (visage, décolleté, mains). Si l'atteinte du visage est caractéristique, il existe de nombreuses autres localisations assez polymorphes dont la fréquence est variable :
une éruption érythémato-Sdémateuse ou squameuse en vespertilio (ou en « aile de chauve-souris ») (fig. 16.2) touchant les joues et le nez, respectant relativement les sillons nasogéniens, s'étendant souvent sur le front, les orbites, le cou, dans la zone du décolleté (90 % des cas) ;
Fig. 16-2 : Lupus érythémateux aigu. Éruption en vespertilio.

Fig. 16-3 : Lupus discoïde.

La néphropathie lupique constitue une atteinte classique du LES intéressant 30 à 60 % des patients au cours de l'évolution de la pathologie, souvent dans les 6 à 36 premiers mois. Elle se caractérise le plus souvent par une atteinte glomérulaire responsable d'une élévation de la protéinurie sans modification initiale de la créatininémie. Les patients pédiatriques et les adultes non caucasiens sont plus fréquemment atteints.
Cette atteinte rénale est fréquemment asymptomatique ce qui explique quelques fois son diagnostic tardif et justifie un dépistage systématique lors du diagnostic de lupus et régulièrement au cours du suivi. Certains signes cliniques (asthénie importante, Sdèmes des membres inférieurs, hypertension artérielle) doivent toutefois alerter le clinicien. Le contrôle de l'atteinte rénale nécessite donc une mesure régulière de la tension artérielle, un dosage de la créatininémie, et surtout la recherche d'une protéinurie.
La bandelette urinaire est un test de dépistage simple et peu coûteux. On propose aussi désormais un simple dosage du rapport protéinurie/créatininurie sur un échantillon (pathologique si ≥ 0,5 g/g) comme outil de dépistage. Ces examens ont l'avantage d'être facilement réalisables, au décours immédiat de la consultation, et permettent ainsi d'éviter tout problème d'observance avec des bilans sur 24 heures rarement réalisés par les patients. En cas de positivité, il est nécessaire de compléter par un ECBU pour confirmer l'hématurie, rechercher une leucocyturie et infirmer l'infection urinaire, mais aussi par une mesure de la protéinurie sur 24 h. Une hématurie isolée n'est, en revanche, pas une indication à une biopsie rénale.
La biopsie rénale est justifiée dès qu'il existe des anomalies biologiques urinaires inexpliquées (encadré 16.2) Indication de la biopsie rénale
Au diagnostic
>Au cours du suivi
L'intérêt d'une deuxième biopsie rénale est discutable. En effet, le meilleur indicateur d'une bonne survie rénale à long terme semble être la réponse précoce au traitement évaluée sur des données cliniques et biologiques (notamment l'amélioration des chiffres de protéinurie).
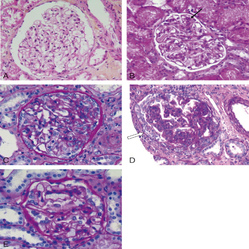
). L'étude immunohistologique (en microscopie optique et immunofluorescence) permet d'identifier différents tableaux de gravité variable définis par une classification de l'OMS (fig. 16.4) :
Fig. 16-4 : Néphrite lupique.
A. Classe 1.
B. Classe 2.
C. Classe 3 avec prolifération endocapillaire segmentaire.
D. Classe 4 avec prolifération endocapillaire diffuse et extracapillaire.
E. Classe 5 : forme non exsudative et non proliférante.

a. Manifestations cardiaques (10 à 30 % des cas)
L'atteinte cardiaque du lupus peut affecter les trois tuniques cardiaques ainsi que les coronaires.
La péricardite est la complication la plus fréquente, souvent asymptomatique, révélée par l'échographie. La tamponnade est rare mais possible.
La myocardite, rare (5 à 15 % des cas), ne se traduit souvent que par des signes électriques. Les risques de troubles du rythme et/ou de la conduction ou d'insuffisance cardiaque sont faibles (moins de 10 % des cas).
Des lésions de l'endocarde peuvent être observées. Elles sont liées à la présence de lésions nodulaires sur les valves cardiaques, de préférence la valve mitrale. Les prolapsus de la valve mitrale sont observés chez 25 % des patients. La prolifération de ces lésions confère aux valves un aspect verruqueux désigné sous le nom d'endocardite de Libman-Sacks dont le risque est la fuite valvulaire, les emboles systémiques et la greffe oslérienne. Cette atteinte est associée à la présence d'antiphospholipides.
Pour toutes ces raisons, la réalisation d'une échographie et d'un ECG doit être systématique.
b. Athérosclérose
Il existe, au cours du LES, une athérosclérose accélérée à l'origine d'une morbi-mortalité significativement augmentée. Parmi les femmes jeunes, le risque relatif de développer une pathologie coronarienne (angor ou infarctus) est 55 fois plus élevé (comparativement à des sujets du même âge). Les facteurs de risque cardiovasculaire habituels sont largement retrouvés parmi les populations lupiques et peuvent être induits ou aggravés par la corticothérapie. Le lupus lui-même participe à la genèse des lésions athéromateuses du fait de l'inflammation chronique systémique.
La prise en charge d'un patient lupique doit donc consister en un dépistage rigoureux des facteurs de risque cardiovasculaire et l'utilisation d'une corticothérapie à la dose la plus faible possible, et pour une période la plus courte possible.
c. Atteintes vasculaires (1 à 15 % des cas)
Les vascularites lupiques, qui n'ont aucune spécificité histologique, peuvent toucher les vaisseaux de presque tous les calibres. C'est une complication rare au cours du lupus.
d. Syndrome des antiphospholipides (30 % des cas)
Les thromboses veineuses, artérielles ou microvasculaires répétées caractérisent le syndrome des antiphospholipides (SAPL). Ce syndrome, observé dans 20 à 30 % des lupus, peut être particulièrement sévère (embolie pulmonaire, nécrose d'origine artérielle) (tableau 16.3).
Tableau 16.3 : Critères internationaux de classification du syndrome des anticorps antiphospholipides.
| Critères cliniques |
|---|
| Thrombose vasculaire Au moins un épisode thrombotique artériel, veineux ou des petits vaisseaux, touchant tout tissu ou organe. La thrombose doit être confirmée par un critère objectif et validé (aspect typique à l'imagerie ou lors de l'examen anatomopathologique ; la thrombose doit être présente sans qu'il y ait une inflammation vasculaire sous-jacente) |
| Morbidité obstétricale - Survenue d'au moins une mort foetale inexpliquée, avant la 10e semaine de grossesse, avec morphologie foetale normale documentée par une échographie ou par examen macroscopique - Survenue d'au moins une naissance prématurée avant la 34e semaine de grossesse, d'un fStus morphologiquement normal, en rapport avec la survenue d'une éclampsie ou d'une pré-éclampsie sévère, ou avec démonstration d'une insuffisance placentaire - Survenue d'au moins 3 fausses couches consécutives et inexpliquées avant la 10e semaine de grossesse, après exclusion d'une anomalie anatomique ou hormonale maternelle, et d'une anomalie chromosomique maternelle ou paternelle |
| Critères biologiques |
| Lupus anticoagulant présent |
| Anticorps anti-cardiolipine (IgG et/ou IgM) présents à au moins 2 reprises, à un titre intermédiaire ou élevé (> 40 UGPL ou MPL, ou > 99e percentile), mesuré par une technique ELISA standardisée |
| Anticorps anti-bêta-2-GPI (IgG ou IgM) présents à un titre > au 99e percentile, à au moins 2 reprises, à 12 semaines d'intervalle selon une technique ELISA standardisée |
L'atteinte pulmonaire est fréquente au cours du lupus. Il s'agit le plus souvent de pleurésies souvent sérofibrineuses (15 à 40 % des cas). Une douleur thoracique, une toux et/ou une dyspnée peuvent être un signe d'atteinte. L'atteinte est souvent discrète, l'épanchement modéré mais parfois bilatéral. La ponction pleurale ramène un liquide exsudatif, riche en cellules mononuclées.
Les autres atteintes pulmonaires (atteintes interstitielles) sont exceptionnelles (1 à 10 % des cas). Elles doivent faire évoquer une origine infectieuse (tuberculose, pneumocystose) chez des patients immunodéprimés.
Une hypertension artérielle pulmonaire secondaire post-embolique ou primitive peut être parfois observée.
Les manifestations neurologiques et psychiatriques rapportées au cours du LES ont une prévalence estimée entre 10 et 80 % selon les critères choisis. Il existe en effet une grande variabilité dans l'identification de ces critères ce qui a conduit l'ACR à définir 19 items pouvant correspondre à une atteinte neurologique ou psychiatrique lupique (tableau 16.4). Certains items tels que les migraines restent cependant très aspécifiques.
Tableau 16.4 : Manifestations neuropsychiatriques du lupus érythémateux systémique d'après les recommandations de l'ACR.
| Central | Périphérique |
|---|---|
| - Méningite aseptique - Pathologie cérébrovasculaire - Atteinte démyélinisante - Céphalées - Mouvements anormaux - Convulsions - Myélopathie - Confusion aiguë - Anxiété - Troubles cognitifs - Troubles de l'humeur - Psychose | - Syndrome de Guillain-Barré - Dysautonomie - Mononévrite simple/multiple - Myasthénie - Neuropathie des nerfs crâniens - Plexopathie - Polyneuropathie |
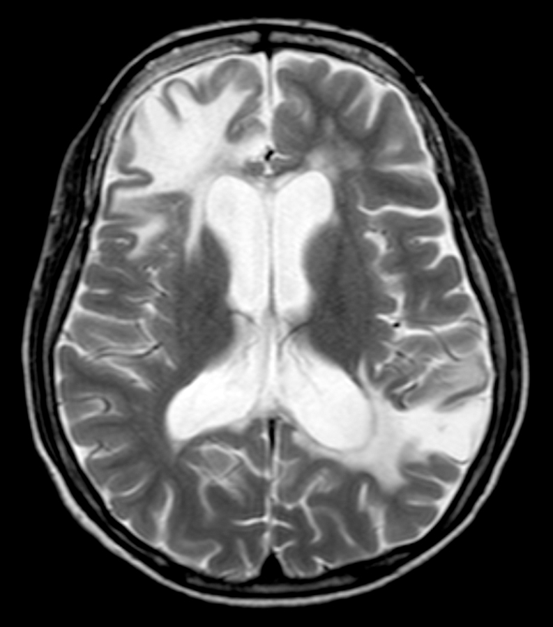
Des adénopathies juxta-centrimétriques et non douloureuses sont retrouvées chez approximativement 50 % des patients lupiques. De même, une splénomégalie est retrouvée chez 10 à 46 - % des patients lupiques, principalement lors des phases d'activité de la maladie. L'analyse histologique est parfois nécessaire à visée diagnostique et permet notamment d'éliminer un lymphome. Elle met en évidence des aires d'hyperplasie folliculaire et de nécrose (fig. 16.5).
Fig. 16-5 : Neurolupus.
Imagerie par résonance magnétique (séquence T2). Hypersignaux importants de la substance blanche.

L'atteinte la plus caractéristique est la péritonite lupique mais elle est très rare (moins de 10 % des cas), parfois révélatrice. Les douleurs abdominales, les troubles du transit et les ulcères sont classiquement secondaires aux traitements médicamenteux.
L'atteinte hépatique est fréquente avec une hépatomégalie rapportée dans 10 à 30 % des cas et des perturbations du bilan hépatique dans près de 60 % des cas. Les hépatites auto-immunes et l'hépatite lupoïde affectent moins de 2 % des patients.
Il n'y a pas d'atteinte intestinale spécifique du lupus mais des ulcérations, des perforations ou des hémorragies ont été observées, liées soit à une atteinte vasculaire (vascularite mésentérique), soit au traitement (AINS, corticoïdes).
Exceptionnellement, des thromboses veineuses hépatiques ou mésentériques sont possibles dans le cadre du syndrome des antiphospholipides.
10 - Atteintes oculaires
Des atteintes oculaires à type de rétinite (5 à 20 % des cas) ou d'atteinte des nerfs oculomoteurs ou du nerf optique existent.
Un syndrome sec oculaire peut être rapporté dans le cadre d'une association avec un syndrome de Gougerot-Sjögren.
Enfin, il existe un risque de toxicité oculaire de l'hydroxychloroquine (et de la chloroquine) qui constitue le pilier de la prise en charge thérapeutique du LES.
Différentes anomalies biologiques détectables dans des examens de routine peuvent orienter vers un lupus, même si elles ne sont pas spécifiques :
Cette technique met en évidence des anticorps anti-nucléaires dans 99 % des lupus avec les techniques utilisées actuellement (immunofluorescence indirecte sur cellules HEp-2). On obtient alors deux résultats : le type et l'aspect de la fluorescence (tableau 16.5). Dans un second temps, l'utilisation des techniques d'identification doit permettre de déterminer la nature de ces autoanticorps.
Tableau 16.5 : Principales fluorescences observées sur cellules HEp-2, et lien avec la détection d'antigène ainsi que l'orientation diagnostique.
| Aspect de la fluorescence | Anticorps | Fréquence |
|---|---|---|
| Homogène (fig. 16.6A) | Anti-ADN Anti-histones | LES 90 % LES et lupus induit |
| Moucheté gros grains (fig. 16.6B) | Anti-Sm Anti-RNP | LES 10 % LES 30 % |
| Moucheté fin Nucléoles- (fig. 16.6C) Nucléoles + (fig. 16.6D) | LES 50 % Lupus cutané subaigu LES 20 % | |
| Anti-SSA/Ro Anti-SSB/La |
Fig. 16-6 : Principales fluorescences observées sur cellules HEp-2.

Des anticorps anti-ADN natif sont retrouvés dans 80 à 90 % des cas de lupus évolutifs, surtout en cas de formes sévères et de néphropathie. Ces anticorps sont détectés par des techniques immunoenzymatiques (ELISA), radio-immunologique (test de Farr) ou en immunofluorescence (Crithidia luciliae). Leur recherche est moins souvent positive que celle des AAN, mais ils sont beaucoup plus spécifiques.
La fluctuation des taux d'anti-ADN d'isotype IgG (et des fractions du complément) chez un patient corrèle en général avec les manifestations cliniques. Des taux ≥ 200 UI/ml pourraient prédire la survenue de poussée lupique. Ils nécessitent dans tous les cas une surveillance étroite de la symptomatologie du patient.
Ces anticorps anti-ADN natif double-brin doivent être bien distingués des anticorps anti-ADN dénaturé (simple brin) qui ne sont absolument pas spécifiques.
Les anticorps anti-antigènes nucléaires solubles, anti-ENA (extractable nuclear antigens) sont détectés par immunodiffusion, par ELISA ou par immunoempreinte.
Les anticorps anti-Sm (complexe ribonucléoprotéique nucléaire) sont décrits exclusivement dans le lupus, mais ne sont présents que dans 10 à 20 % des cas. Ils restent positifs même en cas d'amélioration de l'activité du LES et de chute des anti-ADN. Ils sont plus fréquents chez les Afro-Américains et les Asiatiques.
Les anticorps anti-ribonucléoprotéines (anti-RNP) peuvent être positifs dans le LES mais plus souvent dans les connectivites mixtes. Ils sont associés avec le développement de myosite et d'un syndrome de Raynaud.
Les anticorps anti-Ro/SS-A et/ou anti-La/SS-B sont décrits dans 30 à 70 % des lupus, plus particulièrement quand il existe des lésions cutanées. Ils ne sont pas spécifiques du lupus car ils sont également observés dans 40 à 70 % des syndromes de Gougerot-Sjögren primaires. Ils sont associés au lupus subaigu. Ils nécessitent une surveillance particulière en cas de grossesse du fait du risque de lupus néonatal.
Ces anticorps comprennent les anticoagulants circulants, ou anti-prothrombinase, détectés par des tests d'hémostase, les anticorps anti-cardiolipine, les anticorps anti-β2-glycoprotéine-I et d'autres spécificités plus rares (anti-phosphathydiléthanolamine, anti-annexine V) détectées par des réactions immunoenzymatiques (ELISA). Ils doivent être recontrôlés à 12 semaines d'intervalle. Ces anticorps peuvent exister isolément ou se compliquer de thromboses veineuses et/ou artérielles ou d'avortements à répétition, définissant alors le syndrome des antiphospholipides (cf. § IV.A.5.d SAPL).
Des facteurs rhumatoïdes IgM sont détectés dans plus de 20 % des lupus.
Les anticorps anti-histones, considérés comme spécifiques des lupus médicamenteux, sont également détectés dans 50 à 60 % des lupus érythémateux disséminés idiopathiques.
L'hypocomplémentémie traduit généralement une consommation de l'ensemble des fractions de complément, liée à une activité de la maladie lupique. Dans ce cas, on observe une baisse du complément hémolytique total (CH50) et de l'ensemble des fractions. En pratique, ce sont généralement les fractions C3 - et C4 qui sont analysées par méthode immunochimique.
La baisse isolée d'une fraction (C2, C4, C1q), généralement sans baisse du complément hémolytique total, est l'expression d'un déficit congénital qui est une anomalie génétique assez fréquente au cours du lupus. Il ne faut pas confondre cette anomalie avec une hypocomplémentémie de consommation.
L'étude du complément n'est pas utile au diagnostic, mais peut servir pour le suivi évolutif d'un lupus.
En pratique, le diagnostic de lupus et sa caractérisation reposent donc sur l'analyse de tous ces éléments cliniques et biologiques. Le problème le plus fréquent est celui d'un lupus débutant. Dans ce cas, soit les signes observés sont très spécifiques (érythème lupique, anticorps anti-ADN natif) et permettent de retenir le diagnostic, soit une surveillance prolongée permettra d'affiner le diagnostic. Des recommandations ont été publiées par l'EULAR. Elles sont résumées dans le tableau 16.6.
Tableau 16.6 : Recommandations EULAR 2010 de suivi des patients atteints d'un lupus systémique.
| Bilan biologique | Hémogramme, VS, CRP et électrophorèse des protéines sériques (principalement albuminémie et gammaglobulinémie), créatininémie, ECBU (leucocyturie, hématurie, bactériurie) et rapport protéinurie/créatinurie sur échantillon, |
| Bilan immunologique | - Au moment du diagnostic et lors du suivi : fractions C3 - et C4 du complément, anticorps anti-noyaux, anti-ADN - Au moment du diagnostic : anti-Ag nucléaires solubles et antiphospholipides - Réévaluation chez un patient préalablement négatif : antiphospholipides : avant une grossesse, une chirurgie, une transplantation, l'introduction d'un traitement contenant des Sstrogènes, lors d'un nouvel épisode neurologique ou vasculaire |
| Atteinte articulaire | Interrogatoire : arthralgies et/ou arthrite Clinique : nombre d'articulations touchées Radiographie normale (intérêt pour éliminer d'autres rhumatismes inflammatoires chroniques) |
| Atteinte cutanéomuqueuse | Caractérisation des lésions : - spécifiques ou non spécifiques - mimant des lésions lupiques - iatrogènes |
| Atteinte rénale | Protéinurie des 24 heures et/ou rapport protéinurie/créatinurie sur échantillon, ECBU et tests immunologiques (complément et anti-ADN) Tension artérielle |
| Atteintes du système nerveux central | Recherche d'antécédents neuropsychiatriques (convulsion, paresthésie, parésie, céphalées, épilepsie, dépression…) |
| Atteinte pulmonaire | Interrogatoire : douleur thoracique, dyspnée, toux Clinique : râles ou crépitants dans les champs pulmonaires, épanchement pleural |
| Atteinte cardiaque | Interrogatoire : douleur thoracique, dyspnée, facteurs de risque d'athérosclérose Clinique : Sdème des membres inférieurs, tension artérielle, souffle cardiaque ou carotidien, rythme cardiaque |
| Atteinte ophtalmologique | Examen par un ophtalmologiste |
| Atteinte vasculaire | Recherche d'un syndrome de Raynaud, de facteurs de risque de thrombose, et d'une claudication intermittente |
| Atteinte digestive | Interrogatoire : recherche de symptômes digestifs |
La prise de certains médicaments peut induire de novo des manifestations cliniques et biologiques de lupus. Les manifestations cliniques du lupus médicamenteux sont assez proches de la maladie lupique spontanée, s'en distinguant par une moins grande sévérité, la rareté de l'atteinte rénale, et en règle, la régression plus ou moins totale à l'arrêt du traitement inducteur. Les signes biologiques sont également voisins, avec l'existence d'anticorps anti-nucléaires en immunofluorescence, et d'anticorps anti-ADN dénaturé. La différence biologique fondamentale est constituée par l'absence d'anticorps anti-ADN natif à titre élevé, considérés comme très spécifiques de la maladie lupique spontanée et la présence d'anticorps anti-histones à taux élevés. Enfin, le lupus médicamenteux apparaît généralement dans les suites d'une exposition prolongée au médicament inducteur et régresse au moins partiellement à l'arrêt de celui-ci.
Plus de 80 médicaments différents ont été impliqués dans les lupus médicamenteux. Ils appartiennent à 10 classes thérapeutiques : antiarythmiques, antihypertenseurs, antipsychotiques, antibiotiques, anticonvulsivants, antithyroïdiens, anti-inflammatoires, diurétiques, statines, et plus récemment certaines biothérapies, principalement les anti-TNFα. La liste des principaux médicaments inducteurs lupiques est détaillée dans le tableau 16.7.
Tableau 16.7 : Les médicaments inducteurs de lupus (à titre indicatif).
| Antiarythmiques | Quinine (Quinine®) Quinidine (Cardioquine®, Longacor®) Disopyramide (Isorythm®, Rythmodan®) |
| Antihypertenseurs | Méthyldopa (Aldomet®) Bêtabloquants (surtout acébutolol, Sectral®) Énalapril (Rénitec®) Clonidine (Catapressan®) Minoxidil (Lonoten®) Prazosine (Minipress®) |
| Psychotropes | Chlorpromazine (Largactil®) Clobazam (Urbanyl®) Lithium (Théralite®) |
| Anticonvulsivants | Phénytoïne (Di-Hydan®) Carbamazépine (Tégrétol®) Primidone (Mysoline®) Éthosuximide (Zarontin®) |
| Antithyroïdiens | Propylthiouracile (Propylthiouracile®) |
| Antibiotiques | Acide nalidixique (Négram®) Isoniazide (Rimifon®) Nitrofurantoïne (Furadantine®) Minocycline (Mestacyne®, Minolis®, Mynocine®) Griséofulvine (Griséfuline®) Rifampycine (Rifadine®, Rimactan®) Rifabutine (Ansatipine®) |
| Anti-inflammatoires et immunomodulateurs | Pénicillamine (Trolovol®) Sulfasalazine (Salazopyrine®) Mésalazine (Pentasa®) Olsalazine (Dipentum®) Anti-TNFα (Rémicade®, Enbrel®, Humira®) Interleukine 2 (Proleukin®) Interféron-α (Ropheron®, Introna®, Laroféron®) Interféron-γ (Imukin®) |
| Diurétiques | Hydrochlorothiazide (Esidrex®) |
| Divers | Simvastatine (Lodales®, Zocor®) L-dopa (Modopar®, Sinemet®) Défériprone (Ferriprox®), Dextran ferreux (Promit®) |
Il existe des lupus cutanés chroniques (lupus discoïdes) et des lupus cutanés subaigus qui peuvent rester exclusivement cutanés. Dans ces formes, il n'y a donc pas d'autre manifestation clinique, ni même d'autoanticorps, sauf parfois des anticorps anti-Ro/SS-A dans les formes subaiguës.
Le passage à une forme systémique est rare.
Le lupus peut s'associer à une autre maladie auto-immune systémique (surtout le syndrome de Gougerot-Sjögren) ou spécifique d'organes (thyroïdite, maladie de Biermer, etc.). Ces associations peuvent parfois compliquer le diagnostic.
Un lupus peut débuter dès l'enfance. Ces formes sont rares mais souvent de pronostic sévère (atteinte rénale fréquente).
Si le LES n'a pas d'impact sur la fertilité, il expose à un risque accru de grossesse pathologique. Deux situations peuvent en effet survenir au cours de la grossesse :
La recherche d'anticorps antiphospholipides doit être systématique chez toute patiente lupique puisque les femmes ayant une telle biologie sont exposées à une morbidité obstétricale augmentée (encadrés 16.3) - Risques maternofStaux
Encadré 16.4 Contre-indications à une grossesse au cours du lupus
).
La prise en charge de ces patientes repose sur un suivi multidisciplinaire par une équipe ayant l'expérience de cette pathologie. L'hydroxychloroquine et la corticothérapie à faible dose doivent être poursuivies. Lorsque la poursuite d'un traitement immunosuppresseur est conseillée, seule l'azathioprine est autorisée en cas de grossesse. La présence d'anticorps antiphospholipides justifie la prescription d'aspirine à faible dose (100 mg) associée à une HBPM en cas d'antécédent thrombotique ou de SAPL obstétrical.
Une surveillance clinique et biologique mensuelle pendant la grossesse comprenant une surveillance maternelle (examen clinique et biologique), mais également une surveillance foetale, en particulier échocardiographique foetale chez les patientes avec anticorps anti-Ro-SSA.
Ce syndrome est observé chez les enfants de mère présentant des anticorps antiRo/SSA et/ou La/SSB (exceptionnellement avec des anticorps anti-RNP). La demi-vie des immunoglobulines étant de 21 à 25 jours, les symptômes disparaissent chez l'enfant dans les premiers mois de vie.
La manifestation la plus fréquente est principalement cutanée. Mais des symptômes plus graves peuvent aussi être observés, tels qu'une anémie hémolytique, une thrombopénie, une hépatosplénomégalie, et rarement un bloc de conduction congénital.
La présence d'un bloc est identifiée le plus souvent entre la 18e et la 24e semaine de gestation et justifie donc une surveillance rapprochée au cours de cette période via une échocardiographie foetale.
Le pronostic du lupus s'est nettement amélioré ces dernières années avec une survie de 90 % à cinq ans. La survie est directement liée à la présence ou l'absence de manifestations viscérales, l'atteinte rénale et neurologique étant clairement un facteur de mortalité majorée. L'âge avancé, le sexe masculin, le bas niveau socioéconomique, et un complément consommé sont aussi des facteurs identifiés de mauvais pronostic. L'activité de la maladie et la présence de séquelles pourraient aussi être prédictives d'une mortalité augmentée, tandis que l'exposition à l'hydroxychloroquine serait protectrice.
Ce pronostic est actuellement lié à quatre facteurs :
En pratique, la surveillance repose sur :
Le tableau 16.6 résume les différents éléments de suivi des patients recommandés par l'EULAR.
La prise en charge d'un patient atteint d'un LES est résumée figure 16.7.
Fig. 16-7 : Prise en charge d'un patient lupique.

Les mesures préventives reposent sur l'éviction des facteurs déclenchants, notamment l'exposition solaire (écran total, protection vestimentaire). Les progestatifs sont les contraceptifs prescrits en première intention au cours du LES.
Dans le lupus idiopathique, il n'y a pas de contre-indication médicamenteuse même pour les médicaments présumés inducteurs mais il faut signaler une fréquence plus importante de réactions allergiques médicamenteuses. Une simple surveillance est préconisée.
Une prévention de l'athéromatose est justifiée en identifiant et en éliminant les facteurs de risque associés : cholestérol, tabac, diabète, hypertension.
Une prévention des complications de la corticothérapie, en particulier de l'ostéoporose cortisonique, est nécessaire. L'identification des facteurs de risque d'ostéoporose et la réalisation d'une ostéodensitométrie doivent être systématiques. La correction d'une éventuelle carence vitamino-calcique et une stimulation de l'activité physique sont indispensables. En fonction du terrain, de l'âge et de la durée de la corticothérapie, un traitement par bisphosphonate pourra être introduit.
En cas d'utilisation de cyclophosphamide, il existe un risque néoplasique secondaire en cas de forte dose cumulée (au-delà de 40 g total), un risque de toxicité uroépithéliale justifiant l'injection concomitante d'un protecteur (Urometixan®) et surtout un risque de stérilité. Chez la jeune fille, on pourra proposer une cryoconservation des ovules. L'intérêt d'un blocage hormonal de l'ovulation a aussi été évoqué.
Le risque important de complications infectieuses justifie la mise à jour impérative du calendrier vaccinal. Les vaccins vivants atténués restent néanmoins déconseillés en cas d'immunosuppression profonde.
Une contraception est indispensable quand un traitement tératogène est administré (méthotrexate, thalidomide, cyclophosphamide, acide mycophénolique).
Le traitement dépend de l'évolutivité et de la gravité de la maladie.
Le LES est une des 30 affections de longue durée (ALD) qui donnent lieu à une exonération du ticket modérateur.
Certaines lésions cutanées pourront bénéficier de corticoïdes locaux. Des manifestations articulaires persistantes peuvent bénéficier d'infiltrations corticoïdes.
L'aspirine à faible dose (100 mg/j) est proposée de façon préventive pour ses propriétés antiagrégantes plaquettaires chez les sujets lupiques ayant une biologie antiphospholipide. Il n'y a toutefois pas de consensus sur la nécessité d'introduire ce traitement chez les patients totalement asymptomatiques.
En cas d'épisode thrombotique artériel ou veineux une anticoagulation au long cours est requise. Les antivitamines K (AVK) restent les anticoagulants recommandés dans le contexte. La prévention des récidives passe par un traitement définitif par les AVK avec un international normalized ratio (INR) cible à 2,5 (intensité comprise entre 2 et 3).
En cas de SAPL artériel, le traitement dépend du type de thrombose et de l'organe cible. Pour une atteinte périphérique sur artère saine ou AVC ischémique, un traitement par AVK est souvent proposé avec un INR cible de 3 ou un INR de 2,5 associé à de l'aspirine.
En cas de syndrome coronarien, le traitement anticoagulant est associé à une bithérapie antiplaquettaire à la phase aiguë.
En cas de grossesse, les antivitamine K sont contre-indiqués à partir de 6 SA. Un relais par héparine de bas poids moléculaire (HBPM) à dose efficace et acide acétylsalicylique à dose antiagrégante devra donc être fait dès le diagnostic de la grossesse. L'acide acétylsalicylique pourra être interrompu au plus tard à 35-36 - SA, les HBPM étant poursuivies et une fenêtre la plus courte possible d'anticoagulation sera réalisée lors de l'accouchement.
Une patiente qui a des antécédents de fausses couches spontanées ou d'insuffisance placentaire relève aussi d'une HBPM, souvent associée à de l'acide acétylsalicylique. Les patientes ayant seulement une biologie antiphospholipides isolée sont fréquemment traitées par acide acétylsalicylique (mais pas de consensus). L'adjonction d'HBPM est discutée dans certains cas, notamment en présence d'un anticoagulant circulant lupique.
Surtout, une grossesse chez une patiente lupique nécessite une surveillance étroite et une prise en charge pluridisciplinaire par une équipe aguerrie.